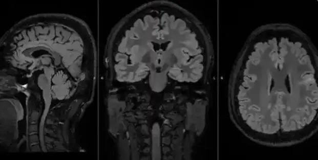
近日,兰州大学第二医院神经外科正式启动甘肃省首个植入式闭环脑部采集刺激系统(ANS)脑机接口GCP项目,并成功完成省内首例脑机接口临床手术。这一突破性进展不仅填补了甘肃省在脑机接口临床应用领域的技术空白,更标志着我国药物难治性癫痫治疗正式迈入“精准闭环调控”的全新阶段。
哪些设备已经成功跨越从无到有的门槛,哪些领域能够与外国领先企业并驾齐驱,而又有哪些技术领域还在奋力追赶,努力缩小差距?或许,通过以下一系列数据的总结,我们能够揭示医疗器械国产替代进程的真实面貌。
在今年的两会期间,政府将加速培育新质生产力作为首要工作任务明确提出。新质生产力,即以创新为核心驱动力,摒弃旧有的经济增长模式和生产力发展轨迹,展现出高科技含量、高效能表现及高质量标准的先进生产力形态,紧密契合新发展理念的要求.
《通知》指出,面向典型应用场景,遴选一批高端医疗装备技术创新与临床应用水平处于全国前列,对高端医疗装备医工协同创新、中试验证、临床研究、迭代升级与推广应用等具有较强引领带动作用的项目。本年度重点开展诊断检验、治疗、监护与生命支持、养老康复、人工智能辅助诊疗5个方向的高端医疗装备推广应用。
近年来,跨国医疗器械巨头如波士顿科学、美敦力、强生等纷纷加速在中国的本土化进程,不仅在中国设立研发中心、生产基地,还与中国本土企业建立广泛的合作关系。跨国医疗器械巨头为何纷纷选择中国,这一趋势又给国产医疗器械企业带来怎样的机遇与挑战?
2024年6月16日,在“2024中国(重庆)独角兽企业大会”上,长城战略咨询重磅发布了《中国独角兽企业研究报告2024》,揭示中国独角兽企业发展的最新格局。
随着社会的快速发展和人口老龄化趋势的加剧,如何为老年人提供高质量、便捷的养老服务成为了社会各界共同关注的焦点。在此背景下,医疗公司作为行业的重要参与者,对于智慧养老的发展前景和战略价值有着深刻的认识。
随着医疗器械市场的不断发展,了解行业领军企业的营收表现对于把握市场脉搏、制定投资策略至关重要。2024第一季度中国医疗器械企业营收报告现已出炉,该报告对各大医疗器械企业的财报数据进行了全面梳理,并以企业营收为主要依据,统计出中国医疗器械第一财季营收排名前十的械企。
一方面,集采逐渐步入常态化,从早期的心脏支架、人工关节、脊柱类产品,到如今的人工晶体类、运动医学类产品,高值耗材领域集采的范围不断扩大。叠加医疗反腐潮下采购需求放缓,部分医疗设备、耗材企业业绩承压。另一边,“出海”步伐持续加快,高端领域不断突破,在“以旧换新”、关键核心技术攻坚等趋势下,一些公司开始加速奔跑。
从细分市场看,2023年超声影像诊断设备、X射线计算机体层摄影设备(CT)和磁共振成像设备(MRI)是公开中标金额占比最大的三个领域,合计超过75%的市场份额,其中超声影像诊断设备和CT的国产化率进一步提升。迈瑞、联影、东软、开立、万东等国产品牌代表,已跻身各细分市场前列,国产设备替代进口产品的趋势渐显。
Copyright © 2009-2024 南京易爱医疗设备有限公司 All rights reserved. 技术支持:南京派点网络 苏ICP备16068490号-1
互联网药品信息服务资格证书 [(苏)-非经营性-2020-0030]